Medio ambiente
Un estudo do CSIC revela como os macroplásticos alteran os bancos de mexillón en Galiza
O traballo do Instituto Español de Oceanografía analiza de maneira experimental como os macroplásticos afectan á estrutura e funcionalidade ecolóxica das comunidades de mexillón.
Galicia
Un estudio del CSIC revela cómo los macroplásticos alteran los bancos de mejillón en Galicia
El trabajo del Instituto Español de Oceanografía analiza de manera experimental cómo los macroplásticos afectan a la estructura y funcionalidad ecológica de las comunidades de mejillón.
Salud
Los daños a la salud por la contaminación de plásticos alcanzan los 1,3 billones de euros a nivel mundial
Un estudio publicado en ‘The Lancet’ advierte que la producción de plástico, que se ha multiplicado por más de 200 desde 1950, afecta a la salud en todas las etapas de su producción y ataca a jóvenes y mayores.
Medio ambiente
“La industria de los residuos deja una cicatriz enorme en nuestro planeta”
El periodista británico Oliver Franklin-Wallis recorre en ‘Vertedero’ (Capitán Swing, 2024) las prácticas ocultas de la industria de residuos, exponiendo el papel de las grandes corporaciones, en connivencia con autoridades e instituciones públicas.
Carro de combate
Un mundo adicto al plástico
Cada año se producen unas 430 millones de toneladas de plástico, buena parte de ellas destinadas a productos de un solo uso que alimentan el sistema de ‘usar y tirar’ provocando enormes impactos medioambientales.
Plástico
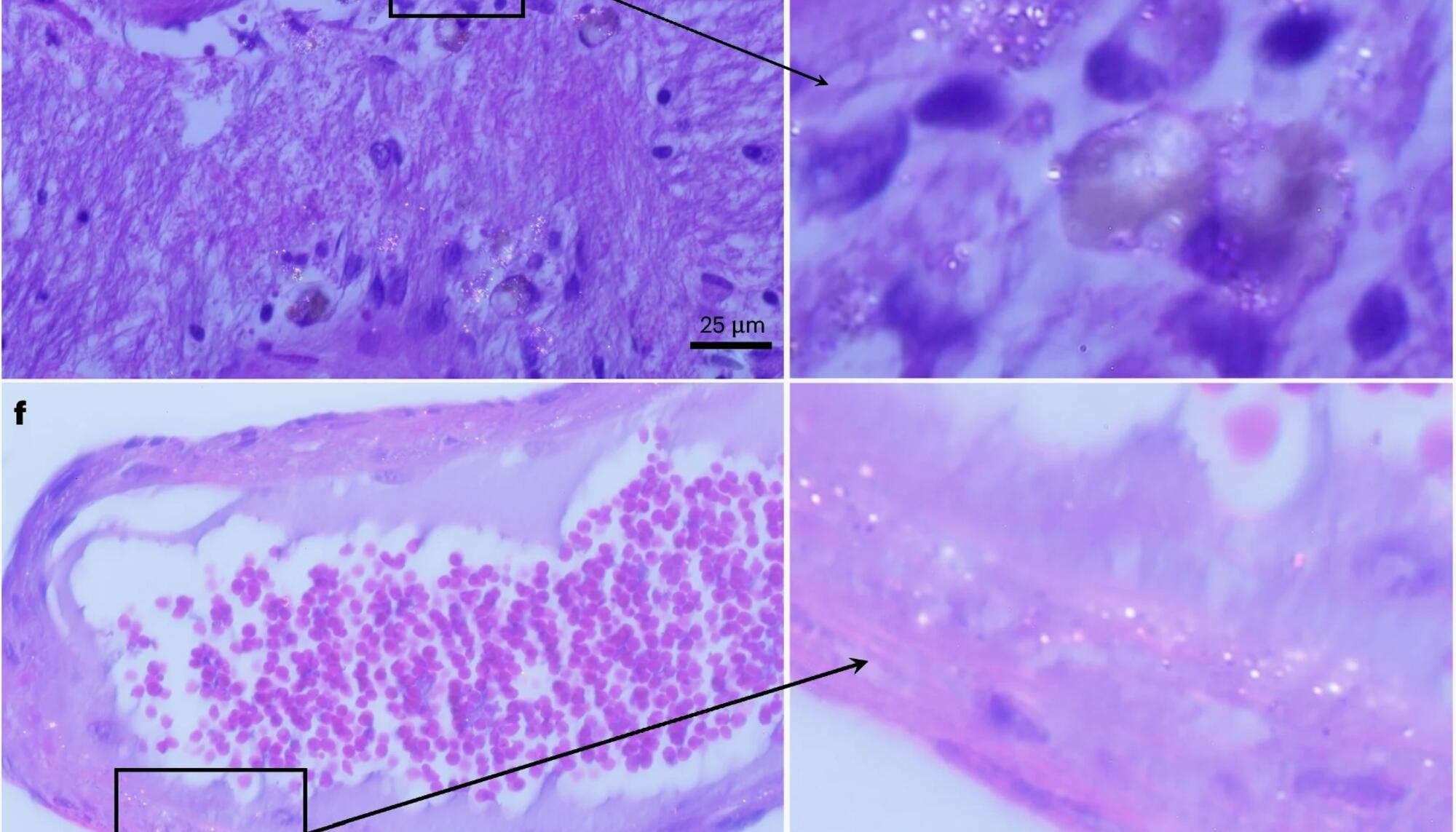
Un estudio de nanoplásticos en cerebros humanos detecta un aumento pronunciado en ocho años
El análisis de 52 córtex frontales publicado en ‘Nature’ apunta a que la acumulación exponencial de plásticos en el ambiente estaría incrementando su abundancia en nuestros organismos.
Sistemas de depósito
El fracaso de Ecoembes en el reciclado obliga a instaurar un sistema de depósito y retorno de envases
El Miteco constata que en 2023 solo se recicló un 41,3% de las botellas de plástico de un solo uso puestas en el mercado. La cifra, muy lejos del 70% al que obliga la ley, supone la puesta en marcha de un sistema paralelo al del contenedor amarillo.
Tóxicos
El veneno oculto de tu casa: más de cien científicos piden legislar contra la toxicidad cotidiana invisible
Personalidades del ámbito de la ciencia llevan al Congreso el manifiesto Futuro sin tóxicos, una declaración que exige incrementar las medidas para proteger la salud de las personas ante los tóxicos presentes en productos de uso habitual.
Residuos
Envases, una pieza más en la sostenibilidad del producto
Es necesario avanzar, desde el sector de los productores y distribuidores ecológicos, en la reducción de envases y en el empleo de alternativas más sostenibles.
Costas
Las Banderas Negras 2024 ponen el foco en la urbanización del litoral y la sobreexplotación turística
Las federaciones de Ecologistas en Acción otorgan cada año 48 “premios” por mala gestión ambiental y contaminación, galardones que este año se han centrado en los excesos del modelo turístico al calor de la movilizaciones en Baleares y Canarias.

Más de Plástico

Residuos
Una investigación constata que Ecoembes manipula las cifras de recogida selectiva de botellas
El estudio de la consultora Eunomia reduce la tasa de recogida selectiva de botellas de plástico al 36%, mientras que Ecoembes aduce un 71%. La cifra es clave: si no llega al 70%, España deberá implantar un sistema de devolución y depósito.
Residuos
Tenemos microplásticos en los testículos
Un estudio publicado en la revista 'Toxicological Sciences' encuentra partículas plásticas en la totalidad de los genitales masculinos de perros y humanos analizados.
Residuos
Hallan 240.000 partículas nanoplásticas en un solo litro de agua embotellada
Un equipo investigador de las universidades de Columbia y Rutgers (EE UU) identifica casi un cuarto de millón de nanopartículas plásticas en un litro de agua embotellada, una concentración muy superior a lo que se creía hasta ahora.
Residuos
La innecesaria factura climática de los envases para llevar de un solo uso
El cambio a un sistema de reutilización de envases para llevar de un solo uso podría reducir significativamente las emisiones de esta industria, según un nuevo estudio.