Un estudio de nanoplásticos en cerebros humanos detecta un aumento pronunciado en ocho años

El análisis de 52 córtex frontales publicado en ‘Nature’ apunta a que la acumulación exponencial de plásticos en el ambiente estaría incrementando su abundancia en nuestros organismos.
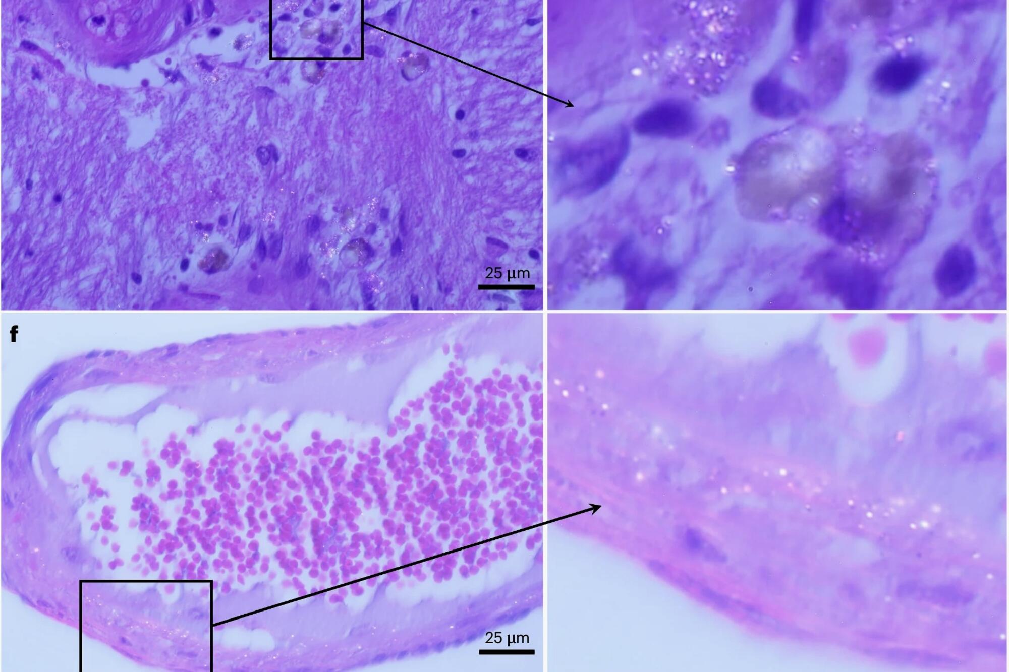
Micro plástico cerebro
Detalle de nanoplásticos en el cerebro publicado en la investigación.
5 feb 2025 11:00 | Actualizado: 5 feb 2025 18:24

Investigadores de la Universidad de Nuevo México (UNM) y la Universidad del Estado de Oklahoma (OSU) han analizado la presencia de microplásticos y nanoplásticos en muestras de riñón, hígado y córtex frontal de 52 cadáveres humanos, 28 de ellos fallecidos en 2016 y 24 entre octubre de 2023 y enero de 2024. Los resultados, publicados en Nature, arrojan un incremento entre 2016 y 2024 en la concentración en peso para todos los tejidos, y unos valores acusadamente más elevados en el cerebro que en los riñones y el hígado. A partir de la observación de estas partículas a microscopio los investigadores señalan que la gran mayoría de ellas son nanoplásticos, es decir, tienen un grosor inferior a una micra (µm).

En promedio, las concentraciones detectadas en 2016, expresadas en microgramos de microplásticos y nanoplásticos por gramo de tejido, fueron de 141,9 µg/g en hígado, 538,1 µg/g en riñón y 3.420 µg/g en cerebro, frente a 465,3 µg/g, 666,3 µg/g y 4.763 µg/g, respectivamente, ocho años después. Esto supone, en el caso del cerebro, un aumento del 40%.

Por otro lado, se hallaron concentraciones de entre 12.806 y 47.730 µg/g en el cerebro de 12 personas que padecían distintas formas de demencia, es decir, una orden de magnitud más elevadas. Los científicos lo achacan a deficiencias en los mecanismos de depuración asociadas a la demencia, por lo que no indicaría que los plásticos causen enfermedades, pero sí hace a estas personas más vulnerables a los posibles efectos neurológicos perjudiciales que puedan provocar estas partículas.

El ser humano consume accidentalmente unos 4 µg por semana de microplásticos y nanoplásticos

No se apreció, sin embargo, que la concentración se incrementase con la edad, lo que sugiere que existen mecanismos de eliminación que evitan la bioacumulación a lo largo de la vida del individuo, algo que es consistente, argumentan los investigadores, con otro estudio en el que la presencia de nanoplásticos en peces cebra aumentaba con la exposición ambiental hasta alcanzar un valor estable, proporcional a la concentración en el medio, y se disipaba después de la exposición.

Si bien es cierto que el tamaño de muestra es limitado y los datos de 2016 son muy dispersos —año en el que se detecta el mayor dato individual de concentración en cerebro—, el análisis estadístico, de acuerdo con la publicación, permite concluir una tendencia al alza significativa en la presencia de estas partículas plásticas en el córtex frontal e hígado en los casos analizados y apunta a un fenómeno global debido a la acumulación de plásticos en el medio ambiente.

De la fábrica a la célula: más del 25% del plástico se ha producido en los últimos nueve años

La liberación de plásticos al planeta está alcanzando un ritmo vertiginoso en las últimas décadas y no hace más que agrandarse. Propiedades como su estabilidad en el tiempo, versatilidad y bajo costo han hecho de estos materiales un candidato ideal y de difícil sustitución para la producción a gran escala y los ha convertido en un elemento representativo de las sociedades de consumo. Si en 1950 se estima que se sintetizaron 1,5 millones de toneladas de plástico en el mundo, en el 2002 fueron 200 y actualmente se han superado los 400 anuales, de acuerdo con Plastics Europe.

El problema es que estos materiales, cuya producción comienza fundamentalmente en la segunda mitad del siglo XX, tardan siglos en degradarse por completo, por lo que prácticamente la totalidad del plástico descartado se acumula en el medio ambiente. Diseñamos productos para ser usados diez minutos que pueden durar 500 años en el planeta. Si hasta 2015 se habían producido 8.300 millones de toneladas a lo largo de la historia de la humanidad, de las que 4.900 habían sido liberadas al ambiente y 800 incineradas —lo que resulta más contaminante—, desde entonces esta cifra se ha incrementado en más de 3.000 millones. Apenas se recicla la quinta parte, y la pérdida de propiedades mecánicas en el proceso obstaculiza generalmente hacerlo más de tres veces.

Estos plásticos se pueden perder al medio ambiente o bien en forma de macroplásticos, que eventualmente acabarán contribuyendo significativamente a la acumulación de microplásticos y nanoplásticos en el planeta mediante procesos de degradación, o bien directamente en forma de microplásticos —entre 1 µm y 5 mm de grosor— y nanoplásticos —entre 1 nm y 1 µm—, por ejemplo, debido a su presencia en productos de higiene y cuidado personal, textiles sintéticos, pinturas plásticas o la abrasión de neumáticos. Decenas de miles de toneladas de microplásticos se pierden cada año en forma de granulado antes incluso de ser convertidas en productos por la industria transformadora del plástico.

Se postula que estas partículas pueden obstruir glándulas, actuar de disruptores hormonales y metabólicos, provocar abrasión e inflamación de tejidos y causar estrés oxidativo y toxicidad inmunológica, neurológica y citológica

Los microplásticos y nanoplásticos se acumulan en el medio terrestre y, transportados por el viento y los ríos, también en el oceánico, donde se prevé que para 2050 estos materiales superen a los peces en peso. Están presentes en el aire que respiramos, en los alimentos que ingerimos, de procedencia tanto animal como vegetal, y en el agua que bebemos. El ser humano consume accidentalmente unos 4 µg por semana. Un estudio reciente calculó que el agua embotellada contiene unas 240.000 de estas partículas por cada litro. Las que más preocupan son las de menor tamaño, ya que pueden ser absorbidas por el organismo. Es más, se ha probado en cultivos de células epiteliales intestinales que partículas del orden de decenas de nanómetros son absorbidas al interior de las células humanas.

Existen enormes lagunas de conocimiento sobre las consecuencias que pueden acarrear para la salud de los ecosistemas, incluyendo la humana. Aparentemente, los niveles de contaminación actuales son insuficientes como para producir efectos apreciables en el ser humano, pero la investigación se encuentra en un estado muy incipiente. Todavía se están desarrollando instrumentos y métodos que permitan detectar y medir con precisión los nanoplásticos y microplásticos de menor tamaño, que hasta ahora pasaban inadvertidos. Es una incógnita la abundancia en número de partículas de nanoplásticos en el ambiente, las rutas que siguen en el interior del organismo y en los ecosistemas, hasta qué punto se bioacumulan en los vertebrados o se eliminan, o hasta qué punto puede existir biomagnificación a lo largo de la cadena trófica.

Algunas de las dificultades a las que se enfrentan los científicos son el estudio de las consecuencias de la exposición crónica, el diseño de grupos de control sin presencia de estas partículas que permitan establecer comparaciones con los niveles ambientales o la diversidad de tamaños, formas, composiciones y aditivos químicos de los microplásticos y nanoplásticos, lo que implica dosis tolerables para los organismos potencialmente diferentes en cada caso. Hasta la fecha, la mayoría de repercusiones para la salud se han sugerido o demostrado en estudios de laboratorio en concentraciones que no se espera alcanzar en el medio ambiente.

Al pasar al interior de las células estas partículas también podrían ocasionar daños en el ADN, por lo que resultarían cancerígenas

Se postula que en el ser humano estas partículas pueden obstruir glándulas, actuar de disruptores hormonales y metabólicos, provocar abrasión e inflamación de tejidos y causar estrés oxidativo y toxicidad inmunológica, neurológica y citológica. Además, al pasar al interior de las células también podrían ocasionar daños en el ADN, por lo que resultarían cancerígenas. La materia orgánica presenta afinidad química por el plástico, y algunos estudios recientes relacionan a los microplásticos con la ateroesclerosis, es decir, la aparición de placas de grasa y colesterol en las arterias, lo que implica un mayor riesgo de sufrir lesiones arteriales y episodios cardiovasculares. En los microorganismos acuáticos, como el fitoplancton y el zooplancton, podrían provocar daños físicos equiparables a los macroplásticos en organismos de mayor tamaño, como el bloqueo del tracto digestivo, desnutrición e interferencia con el nado y la depredación.

Pese a la escasez de evidencia concluyente, lo que genera consenso científico es la urgencia de actuar conforme al principio de precaución ante la magnitud que está alcanzando la acumulación por plásticos en el medio ambiente. Una precaución que, a la vista de la tendencia a continuar incrementando la producción, la economía capitalista no parece dispuesta a adoptar.

Residuos
Tenemos microplásticos en los testículos
Un estudio publicado en la revista 'Toxicological Sciences' encuentra partículas plásticas en la totalidad de los genitales masculinos de perros y humanos analizados.
Contaminación
Una normativa en trámite en la ONU podría haber evitado el vertido de pellets en Galicia
La Organización Marítima Internacional de las Naciones Unidas está estudiando una propuesta que podría obligar a las embarcaciones a transportar los microplásticos en zonas no expuesta a caídas accidentales de los contenedores.
Residuos
Hallan 240.000 partículas nanoplásticas en un solo litro de agua embotellada
Un equipo investigador de las universidades de Columbia y Rutgers (EE UU) identifica casi un cuarto de millón de nanopartículas plásticas en un litro de agua embotellada, una concentración muy superior a lo que se creía hasta ahora.
Tóxicos
El veneno oculto de tu casa: más de cien científicos piden legislar contra la toxicidad cotidiana invisible
Personalidades del ámbito de la ciencia llevan al Congreso el manifiesto Futuro sin tóxicos, una declaración que exige incrementar las medidas para proteger la salud de las personas ante los tóxicos presentes en productos de uso habitual.
Cargando valoraciones...
Ver comentarios 1
Informar de un error
Es necesario tener cuenta y acceder a ella para poder hacer envíos. Regístrate. Entra en tu cuenta.
Cargando...
Cargando...
Comentarios 1

Para comentar en este artículo tienes que estar registrado. Si ya tienes una cuenta, inicia sesión. Si todavía no la tienes, puedes crear una aquí en dos minutos sin coste ni números de cuenta.

Si eres socio/a puedes comentar sin moderación previa y valorar comentarios. El resto de comentarios son moderados y aprobados por la Redacción de El Salto. Para comentar sin moderación, ¡suscríbete!

Cargando comentarios...